Gingivitis meer mond, gebit  
  Ontstoken tandvlees

 Het onderstaande is de letterlijke vertaling van de samenvatting ('Quick Facts: Just the basics on this topic') uit de online versie van de Merck Manual, consumer version.    Lees meer over de Merck Manuals.

Wat is het?   
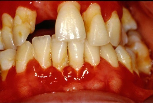
De gingiva is uw tandvlees. Met "-itis" aan het eind van een woord betekent ontsteking. Gingivitis is wanneer uw tandvlees rood wordt, opzwelt en gemakkelijk bloedt. Gingivitis die niet behandeld wordt kan ernstige tand- en tandvleesproblemen veroorzaken, zoals parodontitis.

  • gingivitis wordt meestal veroorzaakt door het niet goed verzorgen van uw gebit
  • het gebruik van bepaalde mediijnen of het hebben van bepaalde ziekten kan ook gingivitis veroorzaken
  • gingivitis is meestal gemakkelijk te genezen met goede tandverzorging
  • goed poetsen en flossen van uw tanden kan gingivitis helpen voorkomen

Oorzaak   
Bijna alle gingivitis wordt veroorzaakt door tandplak. Tandplak is een kleverige laag vol bacteriën die zich ophoopt op uw tanden. De meest voorkomende oorzaak van te veel tandplak is:

  • het niet goed poetsen of flossen van uw tanden

Tandplak dat langer dan een paar dagen op uw tanden blijft zitten, wordt hard. Harde tandplak wordt tandsteen genoemd. U kunt tandsteen niet volledig verwijderen door te poetsen en te flossen.

U kunt ook gingivitis krijgen van:

  • het innemen van bepaalde medicijnen
  • niet genoeg vitamine C of niacine krijgen
  • hormonale veranderingen (bijvoorbeeld door zwangerschap of menopauze)
  • een infectie in uw mond
  • een geïmpacteerde tand of kies (een tand die nog niet volledig door het tandvlees is gebroken)

Symptomen   
Symptomen van gingivitis zijn onder andere:

  • rood tandvlees (in plaats van roze)
  • gezwollen tandvlees
  • gemakkelijk bloedend tandvlees

Behandeling   
Tandartsen zullen:

  • uw gebit reinigen door de tandsteen en tandplak weg te schrapen
  • de oorzaak van je gingivitis behandelen

Preventie   
U kunt gingivitis helpen voorkomen door:

  • elke dag uw tanden te poetsen en te flossen
  • een mondwater te gebruiken dat tandplak helpt verminderen
  • uw gebit elke 6 tot 12 maanden, of vaker indien nodig, te laten reinigen door de tandarts

Bronnen:

Laatste wijziging: 5 januari 2022

  Einde van de pagina